Evia Dental Care

Αισθητική Οδοντιατρική

Ένα όμορφο χαμόγελο είναι ικανό να προσφέρει αυτοπεποίθηση, λάμψη, νεότερη εμφάνιση και καλύτερη ψυχολογία. Επίσης, έχει άμεση επίδραση στις διαπροσωπικές σχέσεις τόσο σε κοινωνικό όσο και επαγγελματικό επίπεδο, ειδικά όσον αφορά το σχηματισμο της πρώτης εντύπωσης. Η σύγχρονη αισθητική οδοντιατρική μπορεί να προσφέρει θεαματικές αλλαγές στο χαμόγελο σας συνδυάζοντας τέχνη και επιστήμη με κύριο πλεονέκτημα την εφαρμογή τεχνικών ελάχιστης οδοντική παρέμβασης.

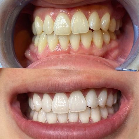
Λεύκανση

Απλή και οικονομική διαδικασία, ανώδυνη και ασφαλής, που εφαρμόζεται είτε στο ιατρείο με χρήση ειδικής λάμπας ή λέιζερ, είτε στο σπίτι με τη χρήση εξατομικευμένων ναρθηκών. Μπορεί ακόμα να γίνει και συνδυασμός αυτών των τεχνικών. Σε κάθε περίπτωση χρησιμοποιείται ειδικό λευκαντικό τζελ, επώνυμο και πιστοποιημένο, χωρίς παρενέργειες και επιβλαβείς δράσεις στην επιφάνεια των δοντιών με ορθή και λελογισμένη χρήση.

Η αλλαγή του χρωματικού τόνου των δοντιών ποικίλει από ασθενή σε ασθενή, δεν είναι προβλέψιμη και εξαρτάται από την αρχική απόχρωση, τη σύσταση της οδοντικής ουσίας, την ηλικία, την αιτιολογία σε δύσκολες περιπτώσεις έντονων δυσχρωμιών και άλλα. Η διατήρηση του αποτελέσματος επίσης ποικίλει και εξαρτάται σε μεγάλο βαθμό από τις διατροφικές συνήθειες(καφές, τσάι, κόκκινο κρασί, τροφές με έντονες χρωστικές), το κάπνισμα, τη στοματική υγιεινή.

Όψεις Σύνθετης Ρητίνης

Οι όψεις σύνθετης ρητίνης βελτιώνουν τόσο το χρώμα όσο και την μορφολογία των δοντιών γρήγορα, εύκολα και κυρίως μη επεμβατικά. Αυτή η διαδικασία μπορεί να γίνει είτε άμεσα στο ιατρείο (free hand bonding) και προϋποθέτει άριστη εμπειρία και καλλιτεχνικές δυνατότητες του θεράποντος οδοντιάτρου, είτε έμμεσα με την συγκόλληση όψεων σύνθετης ρητίνης που έχουν κατασκευαστεί στο εργαστήριο και μεταφέρονται στο στόμα του ασθενούς με ειδικές τεχνικές συγκόλλησης.

Η διατήρηση του αποτελέσματος εξαρτάται από τα υλικά και την τεχνική που χρησιμοποιήθηκαν, την εμπειρία και την ικανότητα του οδοντιάτρου και την φροντίδα του ασθενούς συμπεριλαμβάνοντας την ορθή στοματική υγιεινή, τη συχνότητα της κατανάλωσης ουσιών με έντονες χρωστικές, το κάπνισμα, τον τρόπο μάσησης της τροφής και συνηθειών όπως το δάγκωμα αντικειμένων ή το σφίξιμο των δοντιών.

Σε σχέση με τις ολοκεραμικές  όψεις είναι οικονομικότερες και πιθανόν λιγότερο επεμβατικές στα δόντια, όμως υστερούν στο τελικό αισθητικό αποτέλεσμα και τη διατήρηση αυτού αφού οι σύνθετες ρητίνες έχουν την τάση να αποτρίβονται και να προσροφούν χρωστικές με την πάροδο του χρόνου.

Ολοκεραμικές Όψεις

Πρόκειται για μια έμμεση διαδικασία κατά την οποία γίνεται ελάχιστη αφαίρεση οδοντικής ουσίας και αντικατάστασή της από λεπτή στρώση πορσελάνης στην πρόσθια επιφάνεια των δοντιών. Μπορούν να προσδώσουν λευκότητα και λάμψη, διορθώνοντας ακόμα το σχήμα, το μεγεθος και τη μορφολογία τους. Το υλικό κατασκευής τους είναι αποκλειστικά η πορσελάνη και έχει υποκατηγορίες όπως πορσελάνη διπυριτικού λιθίου, αστρίου, υαλοπορσελάνη κ.α.

Φυσικά απαιτείται κατάρτιση άριστου σχεδίου θεραπείας. Αυτό προϋποθέτει την ορθή διάγνωση, λήψη φωτογραφιών και αποτυπωμάτων , ψηφιακή ανάλυση και μελέτη καθώς και συζήτηση με τον ασθενή για τις προσδοκίες του. Συνήθως γίνεται προσομοίωση του αποτελέσματος (mock up) στο στόμα του με κάποιο υλικό ακρυλικής ρητίνης ώστε να δει ο ασθενής το σχήμα και το μέγεθος των δοντιών. Εφόσον ικανοποιούνται οι προσδοκίες του ασθενούς προχωράμε στην παρασκευή των οδοντικών επιφανειών, τη λήψη αποτυπωμάτων και την προώθηση του περιστατικού στο συνεργαζόμενο οδοντοτεχνικό εργαστήριο.

Η τεχνική κατασκευής τους απαιτεί λεπτούς χειρισμούς , προσοχή στη λεπτομέρεια και άριστη μίμηση των φυσικών χαρακτηριστικών των δοντιών από τη μεριά του οδοντοτεχνικού εργαστηρίου.

Η συγκόλληση τους στα δόντια του ασθενούς απαιτεί εξειδικευμένους χειρισμούς με πλήρη απομόνωση των δοντιών και χρήση αυστηρών πρωτοκόλλων και εξειδικευμένων κονιών. Για τη διατήρηση του αποτελέσματος απαιτείται σχολαστική στοματική υγιεινή, επανέλεγχος ανα τακτα χρονικά διαστήματα, προσεκτική μάσηση της τροφής και αποφυγή δαγκώματος αντικειμένων για να προληφθεί το μικροσπάσιμο (chipping) ή η αποκόλληση τους. Συνήθως συνίσταται και η χρήση συγκλεισιακού νάρθηκα κατά τη διάρκεια της νύχτας.

Ολοκεραμικές στεφάνες

Σε περιπτώσεις που αναζητούμε ένα τέλειο αισθητικό αποτέλεσμα, σε δόντια που χρειάζονται πλήρη κάλυψη, επιλέγουμε τις ολοκεραμικές στεφάνες. Τέτοιες περιπτώσεις είναι δόντια με προϋπάρχουσες στεφάνες που απαιτούν αλλαγή ή απαιτητικά περιστατικά που δεν μπορούν να ολοκληρωθούν με ολοκεραμικές όψεις λόγω κάποιων περιορισμών, όπως πολύ έντονες αποτριβές, διαβρώσεις, έντονη απώλεια αδαμαντίνης, ανάγκη μεγάλης αλλαγής της θέσης, του σχήματος και μεγέθους των δοντιών κ.α.

Η σύγχρονη πλέον οδοντιατρική χαρακτηρίζεται από την αρχή της ελάχιστης οδοντικής αποκοπής ακόμα και στην περίπτωση των στεφανών. Τα ολοκεραμικά συστήματα αποτελούν την επιτομή της αισθητικής και ακολουθούν τη Βιομιμητική αποδίδοντας με απόλυτη φυσικότητα τα χαρακτηριστικά των δοντιών. Μπορούν να κατασκευαστούν από πορσελάνη και ζιρκονία.

Η διαδικασία είναι παρόμοια με αυτή που ακολουθούμε για τις όψεις. Ξεκινάμε πάντα με ορθή διάγνωση του προβλήματος, λήψη αποτυπωμάτων και φωτογραφιών, ψηφιακή ανάλυση, διαγνωστικό κέρωμα και μεταφορά αυτού στο στόμα (mock up) και τέλος ολοκλήρωση του σχεδίου θεραπείας έπειτα από συζήτηση με τον ασθενή. Εν συνεχεία, η διαδικασία περιλαμβάνει την παρασκευή των οδοντικών επιφανειών, λήψη αποτυπωμάτων, χρωματοληψία, κατασκευή προσωρινών-μεταβατικών στεφανών και προώθηση του περιστατικού στο οδοντοτεχνικό εργαστήριο.

 Η τελική τοποθέτηση στα δόντια του ασθενούς ακολουθεί παρόμοια πρωτόκολλα με τις ολοκεραμικές όψεις.

Ένθετα και Επένθετα

Αυτές οι εργασίες κατασκευάζονται είτε από σύνθετη ρητίνη είτε από ολοκεραμικά συστήματα και αποκαθιστούν μία μεγάλη συνήθως οδοντική κοιλότητα η οποία έχει προκύψει έπειτα από καθαρισμό της τερηδόνας ή μετά από ενδοδοντική θεραπεία. Αποδίδουν πιστά τη μορφολογία και τη φυσικότητα των δοντιών και έχουν μεγάλη αντοχή στο χρόνο. Για την τοποθέτηση τους στα δόντια απαιτούν παρόμοια  συγκολλητικά συστήματα με τις ολοκεραμικές όψεις και στεφάνες.

Διακοσμητικά δοντιών

Πρόκειται για μικρά κοσμήματα που συγκολλούνται στην επιφάνεια των προσθίων δοντιών και αποτελούν μια ιδιαίτερη και οικονομική επιλογή για ανανέωση της εμφάνισής σας. Κατασκευάζονται από κρυσταλλικό γυαλί  Swarovski ή από χρυσό,λευκόχρυσο κ.α. και υπάρχει μεγάλη επιλογή σχεδίων, χρωμάτων και μεγεθών. Η τοποθέτηση τους αποτελεί απλή και σύντομη διαδικασία, καθόλου επεμβατική για τα δόντια, ενώ επίσης μπορούν να αφαιρεθούν πολύ εύκολα χωρίς να αφήνουν κάποιο σημάδι.

Κλείστε το ραντεβού σας!